同位素及正电子扫描部 ❯ 服务范畴 ❯ 放射核素治疗
放射核素治疗利用具有生理特性的分子标记,把放射核素经体内循环系统带到目标组织,然後释放高线性能量转移辐射(例如α及β射线)近距离杀死病变细胞。由於分子标记对病理有独特的针对性,因此辐射疗效大多数发挥在病变组织中,从而减低对正常组织的影响。
拥有完善的临床及放射药物供应配套,本院是全港唯一为病人提供全面及一站式的癌症及其他代谢性疾病的诊断及放射核素治疗服务。我们明白放射性药物原料来源及使用安全对病人来说致为重要。为确保放射性药物的可靠及安全,本院的质量控制实验室会於药物作临床使用前由放射化学师进行一系列严格的品质检定测试;在私家辐射隔离护室内,於核子医学专科医生丶放射师及专属护理人员照顾下接受治疗能大大提升病人安全及舒适度。现时治疗范畴包括治疗神经内分泌肿瘤的鑥-177 DOTA结合肽及碘 131 MIBG丶前列腺癌的鑥 177 PSMA及其骨转移的镭 223 Dichloride丶甲状腺功能亢进及癌射频消融术的碘 131丶肝癌的钇 90微球体及骨转移缓解的氯化锶 89。
甚麽是「疗诊合一」(Theranostics)?
「疗诊合一」(Theranostics) 是一个策略性癌症治疗的创新概念。同位素及正电子/电脑扫描(尤其於肿瘤科的应用)是当今「疗诊合一」临床及学术研究中的重要的一环。当中的「互动」是指利用放射核素标记药物,透过特定生理目标(例如细胞表面受体或载体)作诊断扫描及治疗。
过程首先利用多样化诊断放射核素(如氟18丶碳11丶镓68丶鎝 99m及碘 123等)作断层扫描(正电子/电脑双融扫描及同位素单光子电脑断层扫描) 来判断癌症分期丶追踪扩散丶模拟治疗及预测效果;然後配合具相同生理特性的药物及释放治疗辐射的放射核素(如碘 131丶鑥 177丶钇 90丶镭 223及锶 89等),来达到集中治疗功效,并追踪体内分布。这些应用实践了现今於相同疾病中,对不同患者的个人化治疗计划。影像参数用作个人化治疗计划,当中包括评估治疗可行性,预测成效及负作用及减少不必要的反覆检查,以改善治後存活率及生活素质。
过程首先利用多样化诊断放射核素(如氟18丶碳11丶镓68丶鎝 99m及碘 123等)作断层扫描(正电子/电脑双融扫描及同位素单光子电脑断层扫描) 来判断癌症分期丶追踪扩散丶模拟治疗及预测效果;然後配合具相同生理特性的药物及释放治疗辐射的放射核素(如碘 131丶鑥 177丶钇 90丶镭 223及锶 89等),来达到集中治疗功效,并追踪体内分布。这些应用实践了现今於相同疾病中,对不同患者的个人化治疗计划。影像参数用作个人化治疗计划,当中包括评估治疗可行性,预测成效及负作用及减少不必要的反覆检查,以改善治後存活率及生活素质。
常见的放射核素治疗
鑥-177 PSMA前列腺癌放射核素治疗
此治疗是一种利用放射性配体(Radioligand)的放射核素治疗,并对势抗性转移性前列腺癌 (Metastatic castration-resistant prostate cancer)尤其有效。
鑥-177 PSMA为一种能有效地破坏及杀死前列腺癌细胞的放射性药物,并由两部份所组成:
1. PSMA -能附在前列腺细胞膜面的蛋白质受体
2. 鑥-177 - 释放β射线的放射核素,具有治疗作用
此药物能结合癌细胞表面的PSMA受体,当中鑥-177释放的 β 射线为一种高度集中而且穿透距离很短的辐射,将大部份能量散发在癌细胞组织。当前列腺细胞发生病变时,不论是在原发的位置或是转移的位置,PSMA蛋白质受体的数量会异常地增加。病变的前列腺细胞受到反覆的辐射照射後,结构会受到破坏进而凋零死亡。
疗程通常为四至六个周期,每个周期相隔六至八周。接受此治疗前,进行F-18 PSMA 及 F-18 FDG正电子/电脑扫描是必须的。核子医学专科医生会根据肿瘤及转移病灶的追踪剂摄取量及分布 来评估治疗的可行性及处方鑥-177 PSMA治疗剂量。由於鑥-177 PSMA或会短暂地减低肾功能及影响新细胞生长, 接受治疗後短暂时间内一般会较易感到疲倦。
此治疗为晚期的前列腺癌患者提供多一个选择, 不但能一站式治疗转移病灶,而且减低因骨骼转移带来的痛楚。

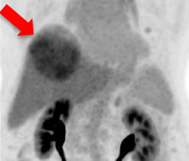
氟18 PSMA正电子/电脑双融扫描显示大部分病灶於鑥177 PSMA放射核素治疗後可见改善(红色箭头所示)。
治疗後扫描显示病灶活跃度大大降低。

鑥177 PSMA放射性核素治疗後前列腺特异性抗原(PSA)水平显着降低。
鑥-177 PSMA为一种能有效地破坏及杀死前列腺癌细胞的放射性药物,并由两部份所组成:
1. PSMA -能附在前列腺细胞膜面的蛋白质受体
2. 鑥-177 - 释放β射线的放射核素,具有治疗作用
此药物能结合癌细胞表面的PSMA受体,当中鑥-177释放的 β 射线为一种高度集中而且穿透距离很短的辐射,将大部份能量散发在癌细胞组织。当前列腺细胞发生病变时,不论是在原发的位置或是转移的位置,PSMA蛋白质受体的数量会异常地增加。病变的前列腺细胞受到反覆的辐射照射後,结构会受到破坏进而凋零死亡。
疗程通常为四至六个周期,每个周期相隔六至八周。接受此治疗前,进行F-18 PSMA 及 F-18 FDG正电子/电脑扫描是必须的。核子医学专科医生会根据肿瘤及转移病灶的追踪剂摄取量及分布 来评估治疗的可行性及处方鑥-177 PSMA治疗剂量。由於鑥-177 PSMA或会短暂地减低肾功能及影响新细胞生长, 接受治疗後短暂时间内一般会较易感到疲倦。
此治疗为晚期的前列腺癌患者提供多一个选择, 不但能一站式治疗转移病灶,而且减低因骨骼转移带来的痛楚。

氟18 PSMA正电子/电脑双融扫描显示大部分病灶於鑥177 PSMA放射核素治疗後可见改善(红色箭头所示)。
治疗後扫描显示病灶活跃度大大降低。

鑥177 PSMA放射性核素治疗後前列腺特异性抗原(PSA)水平显着降低。
双示踪剂正电子/电脑双融扫描 (C-11 Acetate 及 F-18 FDG) 和 肝细胞癌 钇 90选择性内部放射治疗
- 治疗前双示踪剂正电子/电脑双融扫描
- 识别代谢异质性因子
- 分类细胞分化
- 划定辐射敏感性
- 肝脏肿瘤因代谢高丶体积大而不适宜手术治疗
- 甲胎蛋白水平是2269 ng/ml


C-11 Acetate F-18 FDG
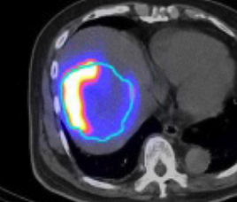
- 治疗前Tc MAA SPECT/ CT
- 预测肿瘤与非肿瘤钇90粒子分布
- 识别分流至肺部及内脏
- 钇90选择性内部放射治疗
- 使用鍀99m MAA(左)模拟钇90粒子分布(右)
- 评估治疗可行性
- 由双示踪剂正电子/电脑双融扫描计算处方剂量
- 用正电子/电脑双融扫描显示钇90粒子分布(右)


99mTc MAA SPECT/CT Y-90 PET/CT
- 治疗後3个月正电子/电脑双融扫描
- 肝脏肿瘤代谢活跃度和体积减少
- 甲胎蛋白水平减少至1206 ng/ml


C-11 Acetate F-18FDG
鑥-177 DOTA结合肽放射核素治疗
神经内分泌细胞除了可传导神经信息外, 还会分泌荷尔蒙。 此细胞广泛分布在身体各个器官内, 如甲状腺, 肺, 肠胃及胰脏等。 当神经内分泌细胞发生病变时, 所产生的肿瘤便称为神经内分泌肿瘤(Neuroendocrine tumor)。 神经内分泌肿瘤分为功能性和非功能性。 功能性肿瘤会分泌荷尔蒙及有明显病徵, 非功能性肿瘤则不会分泌荷尔蒙及没有明显病徵。
此治疗是一种利用肽受体的放射核素治疗,主要用来治疗神经内分泌肿瘤。
鑥-177 DOTA结合肽为一种能有效地破坏及杀死神经内分泌肿瘤细胞的放射性结合肽药物,并由两部份所组成:
1. DOTA结合肽 - 人工合成的生长抑素,能附在细胞膜面的蛋白质受体
2. 鑥-177 - 一种能释放 β 射线的放射核素,具有治疗作用
结合肽放射治疗利用肿瘤细胞具有高密度的生长抑素受体特性, 将标签了放射核素的生长抑素受体 (Somatostatin receptor, SSTR) 依附在肿瘤细胞表面,并直接向肿瘤及周边组织释放高度集中而且行走距离很短的辐射,并将大部份能量散发在周边组织。病变的神经内分泌细胞受到反覆的辐射照射後,结构会受到破坏进而凋零死亡。此治疗不但可抑制肿瘤生长,而且减轻与肿瘤相关的症状,同时改善整体存活率。
疗程通常为四至六个周期,每个周期相隔六至十五周。接受此治疗前,进行Ga-68-DOTA结合肽 及F-18FDG正电子/电脑扫描是必须的。核子医学专科医生会根据肿瘤及转移病灶的追踪剂摄取量及分布 来评估治疗的可行性及处方鑥-177 DOTA治疗剂量。
鑥-177 DOTA结合肽这种新疗法为不可动手术˴ 转移性神经内分泌肿瘤及对其他疗法失效的患者提供多一个选择。超过半数的患者接受了两个周期或以上的治疗後,病情都有所稳定下来。
